Muchos asocian la neumonía con los ancianos, pero en realidad es la principal causa de muerte infecciosa entre niños en todo el mundo. Cada año, la neumonía se cobra la vida de más de 725.000 niños menores de cinco años, incluidos alrededor de 190.000 recién nacidos, que son particularmente vulnerables a la infección. Cada 43 segundos al menos un niño muere de neumonía. Casi todas estas muertes se pueden prevenir.

¿Qué causa la neumonía? La neumonía es una infección respiratoria aguda de los pulmones. No tiene una única causa: puede desarrollarse a partir de bacterias, virus u hongos en el aire. Cuando un niño se infecta, sus pulmones se inflaman, pueden llenarse de líquido o pus y le resulta difícil respirar. Los niños cuyo sistema inmunológico es inmaduro (es decir, recién nacidos o bebés prematuros) junto con aquellos con inmunidad deficiente (es decir, debido a la desnutrición o enfermedades como el VIH) son más vulnerables a la neumonía.

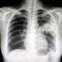
¿Cuáles son los síntomas de la neumonía? Como la neumonía es una infección de los pulmones, los síntomas más comunes son tos, dificultad para respirar y fiebre. Los niños con neumonía generalmente experimentan respiración rápida o la parte inferior del pecho puede contraerse o retraerse cuando inhalan (en una persona sana, el pecho se expande durante la inhalación). ¿La neumonía es contagiosa? La neumonía, causada por virus o bacterias, es contagiosa y puede transmitirse a través de partículas en el aire (tos o estornudo). Los patógenos que causan la neumonía también pueden transmitirse a través de otros fluidos, como la sangre durante el parto, o desde superficies contaminadas. No todas las personas expuestas a patógenos que causan neumonía enfermarán o contraerán neumonía. ¿Cómo se diagnostica la neumonía en los niños? Los trabajadores de la salud pueden diagnosticar la neumonía mediante un examen físico, que incluye verificar si hay patrones de respiración anormales y escuchar los pulmones del niño. A veces pueden utilizar radiografías de tórax o análisis de sangre para el diagnóstico.
Unicef Healt.


